Топ-7 неочевидных экологических угроз человечеству

Фото: Freepik
Фото: Freepik
Помимо глобального изменения климата, человечество сталкивается с новыми экологическими угрозами. Их источником могут выступать даже зеленые технологии

Современные исследования показывают, что распространенные проблемы — изменение климата, утрата биоразнообразия, деградация почв — отражают лишь часть глобальных рисков. При этом экосистемы и человечество уже испытывают воздействие новых факторов, которые еще несколько лет назад не учитывались в экологических моделях. «РБК Тренды» рассказывают, с какими угрозами мы столкнемся уже в ближайшем будущем.

Накопление микропластика в живых организмах

Проблема загрязнения пластиком выходит на новый уровень. Исследователи выяснили, что пластиковые отходы под воздействием солнечного света, волн, ветра и экстремальных температур начинают распадаться на более мелкие фрагменты, а их микрочастицы могут проникать в организмы не только животных, но и людей вместе с пищей, водой и другими путями. Так, по расчетам экологов, именно микропластик выступает одним из основных загрязнителей воды, морского дна и пляжей. Он в основном состоит из волокон текстиля и одежды, а также выступает переносчиком PFAS (вечных химикатов), которые потребляют представители местной фауны и передают далее по пищевой цепочке, в том числе и человеку. Кроме того, частицы микропластика переносят различные патогены, которые потенциально могут провоцировать заболевания.

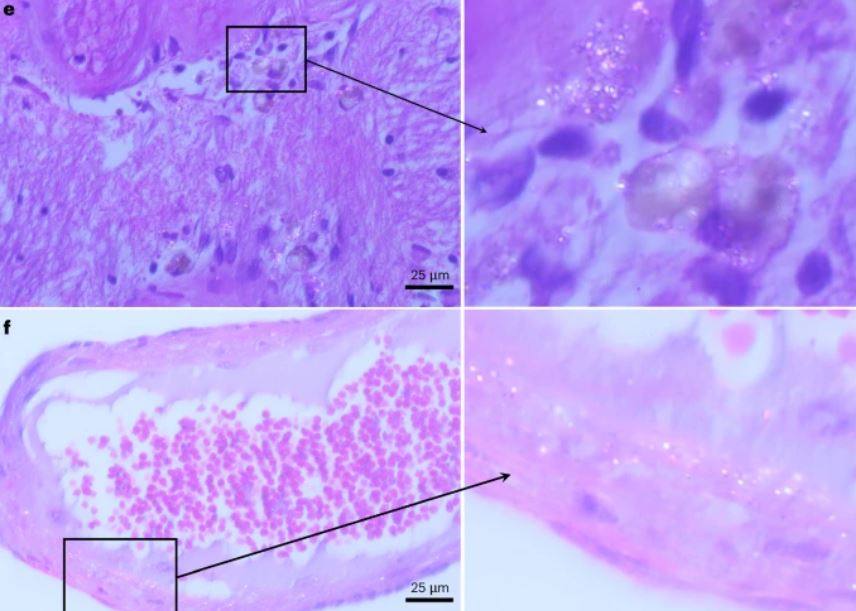
Ученые уже подсчитали, что еженедельно человек потребляет примерно 5 г пластика. Его частицы обнаружили в почках, печени, мозге человека, тканях и других органах. Так, повышенную концентрацию микропластика выявили у умерших людей, страдавших деменцией и с заметными отложениями в стенках сосудов мозга. Это подтверждает, что частицы микропластика могут преодолевать гематоэнцефалический барьер, который действует как фильтр между центральной нервной системой и остальным организмом.

Визуализация скоплений частиц микропластика в мозге человека
Визуализация скоплений частиц микропластика в мозге человека (Фото: nature.com)

Исследователи предполагают, что химические вещества в пластике потенциально могут вызывать воспаления, иммунные реакции, окислительные процессы, повреждающие клетки, и даже приводить к онкологическим заболеваниям. Например, многие продукты изготавливаются с применением полистирола, который также используется для производства пенополистирола. Последний выступает вероятным канцерогеном для человека.

Нынешние показатели выбросов микропластика в окружающую среду оцениваются в 10–40 млн т в год, а к 2040 году этот объем может удвоиться. Даже при немедленном прекращении выбросов число загрязнений продолжит расти из-за деградации устаревших пластиковых изделий.

Фото:Shutterstock
Зеленая экономика Ученые нашли микропластик в грудном молоке

Загрязнение воды лекарственными препаратами

Исследования показывают, что загрязнение воды лекарственными препаратами становится все более реальной угрозой для экологии и здоровья человека. При этом многие современные системы очистки воды полностью не справляются с удалением фармацевтических соединений, а в регионах с плохой инфраструктурой проблема стоит особенно остро.

Согласно исследованию 2025 года, в США широкое использование фармацевтических препаратов приводит к попаданию в окружающую среду токсичных «вечных химикатов» (пер- и полифторалкильных веществ, PFAS), а крупные муниципальные очистные сооружения не способны полностью их отфильтровывать. Речь идет, в частности, о фторорганических соединениях из антидепрессантов, статинов и других препаратов, которые могут попадать в питьевую воду. Ученые подсчитали, что такую воду могут употреблять до 23 млн человек. Соответствующее исследование, проведенное в Южной Африке, показало, что в местных водных системах накапливаются PFAS из антиретровирусных препаратов, антибиотиков и анальгетиков.

Исследователи обнаружили, что в процессе очистки воды удаляется менее 25% соединений. При этом они могут представлять риск для здоровья людей. Засуха только увеличивает количество подобных соединений. Это связано с тем, что запасы естественной воды сокращаются, следовательно, очищенные сточные воды не разбавляются до попадания в систему питьевого водоснабжения. Регуляторы только начинают разрабатывать системы контроля PFAS, а под обязательное регулирование попадает лишь около 8% таких веществ.

При этом ученые выяснили, что накопление PFAS в организме способно провоцировать различные виды рака, бесплодие, высокий уровень холестерина, негативно воздействовать на печень, щитовидную железу и иммунную систему. Кроме того, существуют риски для обитателей воды, которые становятся устойчивыми к антибиотикам и переживают гормональную перестройку.

Фото:Shutterstock
Зеленая экономика Четверть обитателей пресных вод оказались на грани исчезновения

Энергопотребление индустрии искусственного интеллекта

Экологи и организации по всему миру обсуждают проблему, связанную с обучением больших языковых моделей, таких как GPT, Gemini, Claude и других. По их расчетам, этот процесс уже требует колоссальных энергозатрат и воды для охлаждения дата-центров. В 2024 году мировые дата-центры потребили больше 350 ТВт·ч электроэнергии —половину годового потребления Германии и треть российского. А исследователи Калифорнийского университета выяснили, что на генерацию 100 слов с помощью GPT-4 тратится 1,5 л чистой воды. Между тем расчеты Guardian показали, что реальные выбросы центров обработки данных крупных технологических компаний в 2020–2022 годах могли на 662% превышать официально зарегистрированные данные.

Разница между задекларированными и фактическими выбросами CO₂ крупных ИИ-компаний
Разница между задекларированными и фактическими выбросами CO₂ крупных ИИ-компаний (Фото: theguardian.com)

По мнению аналитиков, тренд будет только нарастать. В Международном энергетическом агентстве заявили, что выбросы от энергопотребления дата-центров могут вырасти с нынешних 180 млн т CO₂ до 300 млн т к 2035 году.

Основатель сайта устойчивых технологий Digiconomist Алекс де Врис-Гао подсчитал, что к концу 2025 года на системы искусственного интеллекта (ИИ) будет приходиться 49% от общего энергопотребления центров обработки данных без учета майнинга криптовалют.

В Deloitte же прогнозируют, что энергопотребление дата-центров может достичь 1 тыс. ТВт·ч к 2030 году либо превысить 1,3 тыс. ТВт·ч, что серьезно повлияет на энергетические сети и усугубит ситуацию в отрасли, где и без того наблюдается растущий спрос.

Компании пытаются снизить экологический ущерб. Например, Amazon начала закупать возобновляемую энергию, а Microsoft возрождает старые атомные электростанции. Тем не менее бывший генеральный директор Google Эрик Шмидт говорит, что компаниям нужна «энергия во всех формах: возобновляемая, невозобновляемая, какая угодно». Таким образом, спрос на энергию для ИИ растет быстрее, чем развиваются возобновляемые источники.

Фото:Freepik
Зеленая экономика Запрос с привкусом углерода: как сократить экологический след ИИ

Экологи обсуждают сопутствующую проблему производства ИИ-чипов, которое происходит в основном в странах Восточной Азии, зависящих от ископаемого топлива. Дело в том, что отрасль может стать значительным источником выбросов, если компании не перейдут на устойчивое производство.

Исследователи Массачусетского технологического института подчеркивают важность обсуждения этой темы, поскольку у моделей генеративного ИИ особенно короткий срок службы. По их словам, компании выпускают новые модели каждые несколько недель, а ресурсы на обучение предыдущих версий тратятся впустую.

Накопление электронных и цифровых отходов

Согласно исследованиям, ежегодно в мире образуется 50 млн т электронных отходов. При этом ежегодно перерабатывается лишь 20% от этого объема.

Эксперты подсчитали, что рост мирового производства электронных отходов составит 4–5% ежегодно в обозримом будущем, а к 2030 году он может достичь 82 млн т. Переработка в основном ложится на развивающиеся регионы, а утилизация производится путем либо захоронения на свалках, либо сжигания, что приводит к выбросам тяжелых и токсичных химических веществ.

По данным Всемирной организации здравоохранения, при неправильной переработке электронных отходов может выделяться более 1 тыс. токсичных веществ, в том числе свинец, кадмий и другие. Все они могут загрязнять воздух, почву и воду, подвергая рискам население регионов и целые экосистемы. Особенно страдают работники, занятые в нелегальной переработке, — они подвергаются воздействию токсинов и микробов.

Отдельную проблему представляет собой растущее накопление электронных отходов, связанное с развитием искусственного интеллекта. Исследователи прогнозируют, что к 2030 году объем старых серверов и другого ИИ-оборудования вырастет с 1,2 млн до 5 млн т.

Химическое старение океанов

Химическое старение океанов заключается в нарастающих процессах его деоксидации, то есть снижения насыщения воды кислородом, при одновременном повышении кислотности и изменении химического состава воды. Последние исследования показывают, что около 40% поверхности океана и 60% подповерхностных вод на глубине до 200 м уже значительно закислены. Это угрожает морским видам, формирующим известковые раковины, в том числе ракушкам, кораллам, крабам и мелким моллюскам. Исследователи подсчитали, что некоторые тропические и субтропические коралловые рифы потеряли 43% местообитаний. При этом прибрежные виды моллюсков лишились 13% своих ареалов, что ставит под угрозу важные биологические процессы. Это влияет и на другие виды, в том числе на физиологию диатомовых водорослей, изменяя их фотосинтез и состав жирных кислот. Все эти процессы вместе могут приводить к разрушению пищевых цепочек.

Помимо угрозы морским видам, закисленность океана приводит к тому, что в нем активнее растворяются тяжелые металлы, такие как свинец, ртуть и кадмий, что делает среду более токсичной. В итоге эти элементы быстрее проникают в пищевые цепочки, в том числе и попадая в организм человека.

Исследователи считают, что уровни кислотности в океане уже могут превышать «планетарную границу» безопасности.

Фото:Shutterstock
Зеленая экономика Пятая часть Мирового океана потемнела за последние 20 лет

Световое и шумовое загрязнение

Светошумовое загрязнение оказывает негативное влияние не только на здоровье людей, но и на работу экосистем, а также провоцировать рост выбросов в атмосферу. Уровень светового загрязнения растет на 10% ежегодно из-за популяризации недорогих LED-ламп, а более 80% населения Земли живет в условиях «искусственного неба», то есть при круглосуточном естественном или искусственном освещении. Оно уже охватывает 23% территории Земли, что серьезно влияет на популяции птиц и ночных животных. При этом, по данным Всемирной организации здравоохранения, 99% наружного освещения тратится впустую.

Исследования показывают, что искусственное ночное освещение может влиять на работу репродуктивной и метаболических систем, повышать риски развития рака и вызывать проблемы с психическим здоровьем. Кроме того, световое и шумовое загрязнение вызывают сбои в работе циркадных ритмов у ночных животных, что снижает их популяции. Меняется и поведение хищников, например сов, а это влияет на целые пищевые цепочки.

Что касается шумового загрязнения, то только в ЕС его воздействию подвергаются 110 млн человек, или 20% населения, а к 2030 году этот показатель вырастет до 30%. По оценкам Европейского агентства по окружающей среде, этот фактор ежегодно может вызывать до 66 тыс. преждевременных смертей и до 50 тыс. случаев сердечно-сосудистых заболеваний в регионе.

Проблема затрагивает и океаны. Подводное шумовое загрязнение из-за судоходства негативно влияет на местные экосистемы. Оно может задерживать вылупление и развитие яиц у ракообразных, приводить к серьезным травмам подводных обитателей и даже убивать синих крабов, поскольку у них из-за стресса отключается способность менять цвет, чтобы маскироваться.

Скрытые выбросы при внедрении зеленых технологий

Несмотря на то что зеленые технологии воспринимаются как абсолютно экологичные, их внедрение несет и скрытые угрозы окружающей среде. Так, добыча редких металлов — лития, кобальта, никеля и других — для производства литийионных аккумуляторов для электромобилей сопровождается выбросами CO₂ и загрязнениями экосистем, а их переработка довольно энергоемкая. Кроме того, возникают риски для рабочих, занятых в такой добыче, и местного населения, связанные с токсичностью материалов. При этом мировой рынок литийионных батарей, как ожидается, будет расти на 20–30% до 2030 года, что приведет и к росту объемов добычи редких металлов.

Фото:Pexels
Зеленая экономика Как зеленые технологии вредят экологии: обратная сторона медали

Другой источник угрозы представляют устаревшие аккумуляторы, солнечные панели и ветроэнергетические системы, которые содержат токсичные материалы и требуют дорогостоящего обслуживания, а также грамотной утилизации. Например, в Австралии, где установлено примерно 150 млн солнечных панелей, ежегодно демонтируют 4 млн из них из-за устаревания. Однако на переработку отправляется только около 10% от этого объема, а остальные панели оказываются на свалках. Представители отрасли жалуются на сопутствующую проблему: по их словам, старые панели содержат такие редкие металлы, как золото и медь, которые нужно извлекать, чтобы предотвратить дефицит в будущем.

➤ Подписывайтесь на телеграм-канал «РБК Трендов» — будьте в курсе последних тенденций в науке, бизнесе, обществе и технологиях.

Обновлено 08.12.2025
Авторы
Теги
Мария Решетникова
Главная Лента Подписаться Поделиться
Закрыть